Colleen Cornett - Norco, CA
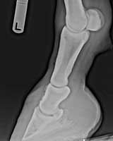
Colleen Cornett and EasyAn update on my horse Easy. GOOD NEWS... I just started him on my last refill bag and I am sure I will not need any more Ringbone Formula. He has not limped for at least 7 weeks now on maintenance dosage of 4 scoops a day. We have been riding him barefoot again for at least 2 months and have tested him out in the hills nearby. (His limping first showed up whenever he was going down a hill.) His ringbone was confirmed by x-rays by our local Vet. It has now been a little over 5 months and I am now tempted to take him back for some "after" x-rays but would rather spend the money on more of your formulas....
March 13, 2012
October 27, 2012



March 13, 2012
October 27, 2012






